ORTODONCIA PARA NIÑOS: ORTODONCIA PREVENTIVA
Es aquella ortodoncia que se realiza durante el periodo en el que comienzan
a salir los dientes permanentes o definitivos (de 6 a 12 años)
a salir los dientes permanentes o definitivos (de 6 a 12 años)
¡El momento de actuar!
Durante la etapa de erupción de los dientes permanentes se puede observar que los dientes nuevos son de mayor tamaño que los dientes de leche. Si se empiezan a ver los dientes apeñuscados y sin espacio, ¡este es el momento en que se debe actuar!


El mayor porcentaje de los casos de malas mordidas tienen su origen durante los 6 y los 12 años cuando empiezan a salir los dientes permanentes. No permitas que tu hijo desarrolle una mala mordida.
¡Empieza el tratamiento a tiempo y podrás evitarlo!
¡Empieza el tratamiento a tiempo y podrás evitarlo!

Esto se puede corregir a través de procedimientos capaces de eliminar o reducir su severidad impidiendo que la mala mordida se instale. El objetivo es orientar la salida de los dientes permanentes, para que salgan en los espacios que deben salir.

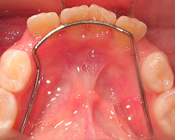
La idea es que a través de la instalación de aparatos sencillos y fijos (no removibles) el diente permanente realice su erupción de una forma adecuada.

En los casos donde los pacientes tienen una mandíbula pequeña y hacia atrás dando una apariencia de “cara de pajarito”; existe un tratamiento ortopédico donde a través de vectores de fuerzas se redirecciona el crecimiento de los niños, ya que están en pleno desarrollo, podemos moldearlo.
Siendo tratados en el momento oportuno, puede evitarse un tratamiento de ortodoncia en la edad adulta, o disminuir su complejidad si es requerido uno.
Siendo tratados en el momento oportuno, puede evitarse un tratamiento de ortodoncia en la edad adulta, o disminuir su complejidad si es requerido uno.
